족저 근막염이란?
아침에 일어나 걸을 때 발바닥 통증을 느껴보신 적 있나요? 족저 근막염 증상 중 하나입니다.
아침에 일어난 직후 처음 몇 발자국을 걸을 때 심한 통증이 나타납니다.
이는 자는 사이에 근막이 수축된 상태로 있다가 아침에 일어나 발을 디딜 때, 체중 부하가 이루어지며 족저 근막이 갑작스럽게 스트레칭되며 발생하는 것입니다.
이 외에도 발꿈치 내측의 압통, 서있을 때 뒤꿈치가 뻣뻣하고 찌릿함 등도 족저 근막염 증상입니다. 족저 근막염이 진행되면 오래 걷거나 운동을 한 후에도 통증이 나타납니다.



족저 근막염 증상
✔ 아침에 일어나 처음 걸을 때 발바닥 통증
✔ 발꿈치 내측의 압통
✔ 서있을 때 뒤꿈치가 뻣뻣하고 찌릿함
✔ 오래 걷기나 운동 후의 발바닥 통증
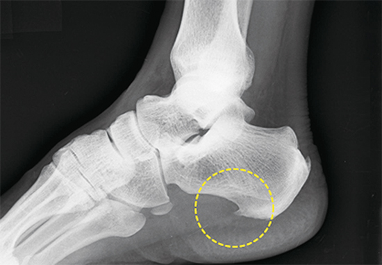
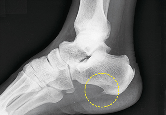
족저 근막은 종골에서 시작하여 발바닥 앞쪽으로 5개의 분지를 내어 발가락 기저부에 부착되는 강인하고 두꺼운 섬유 띠입니다.
이는 발의 아치를 유지하고 체중 부하 상태에서 발을 올리는데 도움을 줍니다. 족저 근막염은 족저 근막에 미세한 손상이 반복해서 발생하여 콜라겐이 변성되고 퇴행성 변화로 통증이 유발되는 질환입니다.
가장 흔하게 나타나는 족부 병변 중 하나로 뒤꿈치의 통증을 일으키는 질환입니다. 장시간 서있거나 과도한 운동 , 몸무게 증가, 하이힐 등 발에 스트레스가 증가하면 더 쉽게 발병합니다.
발이 불편하면 모든 활동이 불편해지는 만큼 중요한 부위라고 할 수 있는 발 건강을 위해 족저 근막염 치료법에 어떤 방법들이 있는지 알아보도록 하겠습니다.






족저 근막염 치료법
1. 족저 근막염 치료법 - 원인 제거
보전적인 치료의 제일 첫 단계는 원인을 제거할 수 있다면 원인을 제거하는 것입니다. 무리한 운동이나 잘못된 운동 또는 불편한 신발 등이 원인이라면 이를 제거하는 것이 가장 우선입니다.
2. 족저 근막염 치료법 - 족욕
족욕은 발바닥 통증 완화에 도움을 줍니다. 발바닥의 피로를 풀어주고 혈액순환을 촉진시켜주며 발바닥 근육의 긴장을 완화시켜 통증을 줄여주는 효과가 있습니다. 매일 저녁 꾸준한 족욕으로 발바닥의 피로를 풀어주면 좋습니다.



3. 족저 근막염 치료법 - 편안한 신발, 깔창
신발 밑창에 에어나 메모리폼 등이 들어간 신발을 신거나 깔창을 깔면 통증 완화에 도움이 됩니다. 집안에서도 맨발보다는 푹신한 슬리퍼를 신으면 좋습니다.



4. 족저 근막염 치료법 - 테이핑
통증이 갑자기 심해질 경우 족저근막 근처에 테이핑을 하면 통증을 완화하는데 도움이 됩니다.
5. 족저 근막염 치료법 - 테니스공 마사지
아픈 부위를 테니스공으로 굴려가며 마사지하면 도움이 됩니다. 테니스 공이 없다면 물통이나 물병, 캔 등을 굴려도 됩니다. 통증이 너무 심할 때는 하지 않는 것이 좋습니다.



6. 족저 근염 치료법 - 스트레칭
스트레칭을 통해 족저 근막염 통증을 완화할 수 있습니다. 족저근막과 아킬레스건을 늘려주면 도움이 됩니다.
무릎을 똑바로 펴고 앉은 상태에서 발가락을 머리 쪽으로 당기면서 40초 정도 유지하며 양쪽 발을 3~4회 반복하면 도움이 됩니다.
아침에 일어난 직후나 오랜 시간 앉아 있다 일어나기 전에 스트레칭을 해주면 효과가 좋습니다.



7. 족저 근막염 치료법 - 보조기
뒤꿈치 보조기를 사용하여 뒤꿈치 연부조직을 감싸주면 뒤꿈치에 가해지는 충격을 흡수하는 역할을 해주어 도움이 됩니다.
8. 족저 근막염 치료법 - 소염 진통제
부종이 동반된 급성의 경우 효과가 있습니다. 다만 장기간 복용은 권장하지 않습니다.



9. 족저 근막염 치료법 - 스테로이드 주사
보전적 치료에 별다른 호전 증세가 없을 때 고려해 볼 수 있습니다. 반복적인 사용은 족저근막의 급성 파열 위험이 있습니다.



10. 족저 근막염 치료법 - 도수치료
치료사가 손을 이용해 근육과 관절을 바로잡는 치료법으로 족저 근막염 통증 개선에 도움이 됩니다.
11. 족저 근막염 치료법 - 수술
보전적 치료를 충분히 시행하였어도 별다른 효과가 없다면 수술을 통해 족저 근막을 늘려주는 방법이 있습니다. 수술치료의 성공률은 70~90% 정도입니다.



족저 근막염을 장기간 방치하게 되면 보행에 영향을 주어 무릎이나 고관절 등에도 영향을 줄 수 있습니다.
꾸준하게 치료하면 효과를 본다고 하니 조급하게 서두르지 마시고 발에 부담을 줄일 수 있는 방법을 찾으면 좋을 것 같습니다. 이상 족저 근막염 치료법에 대한 포스팅을 마치겠습니다.
MSM의 효능 핵심 정리
MSM은 식물이나 동물에서 자연적으로 발견되는 황 함유 화합물로 식이유황 또는 천연 유기유황으로 불립니다. 칼슘과 인 다음으로 우리 몸에 많은 미네랄 성분이 바로 유황인데요. 이 황 성분은
abesbreads.com
갑상선 기능 저하증 증상과 치료방법
목 앞쪽에 위치한 나비모양의 내분비 기관인 갑상선에 대해 얼마나 알고 계신가요? 갑상선은 갑상선 호르몬을 만들어 우리 몸의 대사를 촉진하고 기능을 유지시켜주는 중요한 역할을 합니다.
abesbreads.com
글루타치온 효능 10가지와 부작용
글루타치온은 최고의 항산화제라고 알려지며 여기저기 많이 소개되고 있어요. 염증이나 각가지 질환을 유발하는 활성산소 제거에 항산화 물질이 필요해요. 글루타치온은 강한 항산화 물질로
abesbreads.com
댓글